歡迎來到武漢普諾賽生命科技有限公司網站!肺中的支氣管經多次反復分枝成無數細支氣管,它們的末端膨大成囊,囊的四周有很多突出的小囊泡,即為肺泡。肺泡或肺的氣體交換表面由 I 型肺泡上皮(ATⅠ,AT1)、II型肺泡上皮(ATⅡ,AT2)和微血管內皮細胞組成。
其中,ATⅠ細胞又稱小肺泡細胞,其主要作用是參與構成氣血屏障、進行氣體交換;ATⅡ細胞又稱大肺泡細胞,是肺泡上皮中的祖細胞,具有很強的增殖和分化潛能,可分化成ATⅠ,在維持肺臟穩態以及肺損傷修復過程中起著至關重要的作用。

圖1 肺泡模式圖

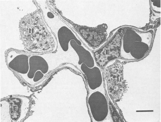
圖2 肺泡細胞的外觀:上皮I型細胞(I)、上皮II型細胞(II)和毛細血管內皮細胞(E)(bar=4μm)
1
什么是Ⅰ型肺泡上皮細胞?
傳統的觀點認為ATⅡ是肺泡上皮中具有生物學活性的細胞,而終末分化的ATⅠ只是被動地參與氣血屏障的形成,不增殖,也不具有可塑性。但最近的研究發現ATⅠ可能不只是傳統意義上的終末分化細胞,而具有多樣的生物學功能,并在損傷修復過程中發揮一定作用[3]。雖然ATⅠ數量只占全肺總細胞數的8%,但卻覆蓋了95%~98%的肺泡表面積,是其中最大的細胞之一,平均體積為1,764 μm3。ATⅠ參與氣血屏障的形成,對于正常的換氣功能非常重要。由于ATⅠ易破裂,缺少生物學標記,分離相對困難,因此目前針對ATⅠ的研究主要采用由ATⅡ分化而來的ATⅠ樣細胞,但其生物學特性與ATⅠ細胞存在一定差異。
2
什么是Ⅱ型肺泡上皮細胞?
Ⅱ型肺泡上皮細胞(typeⅡ alveolar epithelial cells,ATⅡ)是由內胚層衍生的多功能極化上皮細胞,存在于成年哺乳動物的肺部遠端,與Ⅰ型肺泡上皮細胞偶聯鑲嵌排列,形成肺泡囊,參與呼吸膜的形成。ATⅡ雖僅占肺泡表面積的7%,但卻占實質肺泡細胞總數的16%,平均體積為I型肺細胞的一半,可通過分泌大量的表面活性物質,從而減低肺泡表面張力。另外,其還可參與肺部的炎癥反應、免疫反應、細胞外基質(extracellular matrix,ECM)調節和損傷修復等多種生物學活動。
Ⅱ型肺泡上皮細胞的鑒定:
肺表面活性蛋白C(surfactant protein C,SP-C)基因是目前被發現的唯-一僅在肺泡Ⅱ型上皮細胞中表達的肺表面活性蛋白基因,也是鑒定ATⅡ細胞最-常用的標記物。此外,至少對于小鼠,有報道稱,一部分SP-C(+)ATⅡ細胞也被發現表達低水平的Clara/Club細胞基因Scgb1a1/CC10,這些雙陽性細胞能夠分化成ATⅠ細胞。因此,CC10的共存表達并不絕對排除作為ATⅡ細胞的識別[2]。

圖3 Ⅱ型肺泡上皮細胞的鑒定
圖3[A]:從分化的人類胎兒外植體中制備的人類ATⅡ細胞在培養4天后使用尼羅紅進行脂質染色以識別層狀體(LB);"N"=原子核。
圖3[B]:來自正常成人肺的人ATⅡ細胞的透射電子顯微照片,顯示含有致密核心顆粒的形成良好的 LB (LB→)。此外,還鑒定出了多泡體(MVB)和微絨毛(mv)。
圖3[C]:對[A]中制備的人ATⅡ細胞單層進行免疫組化,使用抗NPROSP-C(紅色)和DAPI(細胞核)對proSP-C進行染色,顯示點狀胞質染色,表明proSP-C后高爾基體運輸到LB。
圖3[D]:使用新鮮分離的小鼠ATⅡ的proSP-C抗血清進行蛋白質印跡,顯示21 kD proSP-C初級翻譯產物(箭頭)和低分子量加工中間體(括號)。
圖3[E]:使用SP-B抗血清對按照A和C中制備的兩種單獨的人ATⅡ細胞制劑進行蛋白質印跡。proSP-B初級翻譯產物(粗箭頭)、25kD 中間體(細箭頭)和成熟SP-B(括號)被識別。此外,二聚體成熟的SP-B(箭頭)也出現了。[2]
原代肺泡上皮細胞的分離培養:
1
取完-全無血液殘留的肺臟組織
2
消化肺組織
常用消化酶: 胰蛋白酶、彈性蛋白酶、膠原酶;
經支氣管將酶灌注到完整的肺中消化,或把肺組織剪碎放入消化液中消化(前者比后者更有效)。
3
分離純化細胞
原代肺泡上皮細胞分離純化主要方法:
01
密度梯度離心法
不同細胞的沉降系數不同,在密度梯度離心中細胞所處的位置也相應不同。用ficoll或percoll不連續梯度離心法分離肺泡Ⅱ型上皮細胞。
02
流式細胞技術法
根據不同細胞之間的熒光差異,用熒光物質標記篩選。肺泡上皮細胞內含有豐富的脂類物質,用親脂性熒光素標記,可以得到純度很高的細胞。該方法分離細胞的產量很低,但純度極-高。
03
免疫黏附法
不同細胞的沉降系數不同,在密度梯度離心中細胞所處的位置也相應不同。用ficoll或percoll不連續梯度離心法分離肺泡Ⅱ型上皮細胞。
04
貼壁選擇法
肺泡上皮細胞完成貼壁的時間不同,利用這種特性在肺泡上皮細胞培養時做篩選。
●參考文獻●
