歡迎來到武漢普諾賽生命科技有限公司網站!RAW 264.7(小鼠單核巨噬細胞白血病細胞)是破骨細胞、炎癥研究最-常用的體外模型之一,被廣泛用于研究風濕性關節炎、骨質疏松癥、骨質溶解、牙周炎等骨骼疾病。
極化方式
巨噬細胞是具有異質性的一類免疫細胞,在體內外不同環境影響下可極化為不同表型參與機體生理、病理反應。從激活方式上分為經典激活的巨噬細胞M1和選擇性激活的巨噬細胞M2。
細菌和脂多糖(LPS)可以誘導巨噬細胞向M1型分化,產生促炎細胞因子,抵抗病原入侵,但也會造成機體損傷,在實驗中可采用2.5ng/mL IFN-γ和200ng/mL LPS共同作用12小時誘導其極化;

圖1. a.RAW 264.7 未分化形態圖 b.RAW 264.7 M1型分化形態圖
白細胞介素(IL-4)可以誘導巨噬細胞向M2型分化,分泌抗炎細胞因子,并在組織修復與重建和腫瘤的形成過程中發揮作用,在實驗中可采用10ng/mL IL-4作用12小時誘導其極化。

圖2. RAW 264.7 不同分型形態圖
鑒定方法
M1、M2具有各自特征性標志分子,iNOS、CD86、TNF-α是常見的M1型巨噬細胞的標志分子,IL-10、Arg-1、CD206是常見的M2型巨噬細胞標志分子。一般在實驗研究中:
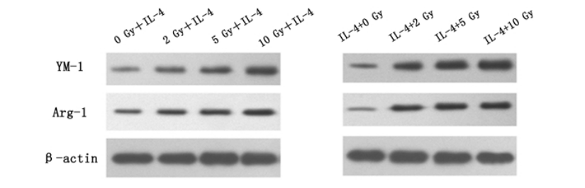
WB可以分析RAW264.7細胞iNOS、YM-1和Arg-1的表達水平(如圖3);

圖3. WB分析照射對IL-4誘導的RAW264.7細胞YM-1和Arg-1的表達影響
流式細胞術(FCM)可以分析RAW264.7細胞表面CD86和CD206的表達(如圖4);

圖4. 流式細胞術分析照射對IL-4誘導的小鼠RAW264.7細胞CD206和CD209的表達
實時定量 PCR 和 ELISA 可以分析IL-1β、IL-6、TNF-α、IL-12 及 IL-10 等細胞因子的表達及分泌(如圖5);

圖5. 用于實時熒光定量PCR的引物序列
Griess reagent 可以分析細胞培養上清 NO 生成(如圖6)。

圖6. 不同樣品對RAW 264.7中NO產生的影響
參考文獻